bebeklerde emar nasıl çekilir

Bebek Odasi

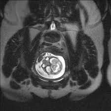
bebeklerde emar nasıl çekilir.

fetal mr goruntuleme yararli bilgiler guney emar
fetal mr goruntuleme yararli bilgiler guney emar

bebekler için en iyi güneş kremi bebekler için en iyi ateş ölçer bebekler icin uyku muzigi bebekler için iştah açıcı balık yağı bebekler için ilk arabam bebekler icin balkabagi corbasi bebekler için beynin kuralları bebekler icin pankek bebekler icin salincak bebekler ilk doğduğunda neden ağlar bebekler için ishal ilacı bebekler için grip şurubu bebekler herşeyi ağzına almayı ne zaman bırakır bebekler için emzik bebekler hangi gün yıkanmaz dini bebekler için biberon